In Noord-Brabant, werd in maart 2025 een oude vrouwelijke das (Meles meles) dood gevonden in een tuin dicht bij een dassenburcht (een ondergronds gangenstelsel waarin dassen leven). Ze was mager en uitgedroogd. Het dier is door het DWHC onderzocht.
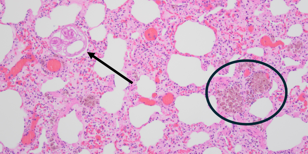
De das is overleden door een buikvliesontsteking die werd veroorzaakt door de bacterie Streptococcus canis. Hiernaast had ze een darmontsteking, lichte problemen met het hart en vocht in de longen (longoedeem). In de longen zijn ook wormen gevonden die hebben gezorgd voor een lichte longontsteking. Tijdens microscopisch onderzoek is een longworm gezien evenals ontstekingscellen door het inademen van zand (zie figuur). Verder had deze das een huidontsteking op haar buik door parasieten zoals vlooien en mogelijk luizen.

De bacterie Streptococcus canis
Streptococcus canis wordt vooral gevonden bij honden en katten, maar ook bij een breed scala aan andere diersoorten, waaronder runderen, vossen, otters, en dassen. De bacterie S. canis veroorzaakt vooral infecties bij dieren die al een zwakke gezondheid of een verminderde afweer hebben. Deze bacterie kan het lichaam binnendringen via wonden, de huid of slijmvliezen. Eenmaal in het lichaam veroorzaakt S. canis ontstekingen op de plek van binnenkomst, zoals huidinfecties, maar kan zich ook via het bloed verspreiden naar andere organen. Dit kan zorgen voor bijvoorbeeld longontsteking en bloedvergiftiging (sepsis). De ontstekingsreactie van het lichaam op de binnengedrongen bacterie zorgt voor algemene ziekteverschijnselen als koorts en sloomheid.
Streptococcus canis is een zoönose wat betekent dat het van een dier naar een mens overdraagbaar is. Een infectie met deze bacterie bij mensen is zeer zeldzaam, en in Nederland nog niet gerapporteerd.
Literatuur
Pagnossin, D., Smith, A., Oravcová, K., & Weir, W. (2022). Streptococcus canis, the underdog of the genus. Veterinary Microbiology, 273, 109524.