At the end of September 2023. A dead European Green Woodpecker (Picus viridis) was found in the village Selling, province of Groningen, and collected for research on the cause of death.
The results
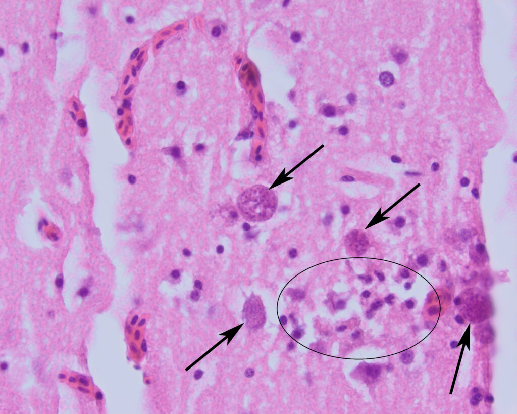
The green woodpecker was a thin, adult female. The woodpecker had pneumonia caused by fungi and encephalitis (brain inflammation) caused by the parasite Toxoplasma gondii. In the photo, the T. gondii cysts are indicated with arrows, and the brain inflammation is circled.
In everyday language, the disease caused by this parasite is called “cat litter disease”. Dye to the inflammations, the woodpecker was weakened and fell from the tree, which led to her death. This was the first time that toxoplasmosis was diagnosed in a bird at the DWHC.

Woodpecker and toxoplasmosis
Virtually all animal species, including birds, can become infected with the single-celled toxoplasma parasite. In America, toxoplasmosis with brain inflammation was diagnosed in a red-bellied woodpecker in 2007. This is likely the first article about a woodpecker with neurological symptoms due to toxoplasmosis. In 1961, toxoplasmosis was found in four woodpeckers in India, but those birds were not ill. Thus, toxoplasmosis in woodpeckers can also proceed without symptoms (asymptomatically).
Toxoplasmosis as a cause of neurological symptoms in a green woodpecker was described in Germany in 2015. That year, 25 woodpeckers with neurological symptoms (19) or unknown cause of death (6) were examined in Germany, including 12 green woodpeckers and 13 great spotted woodpeckers. In one green woodpecker with neurological symptoms, cysts of the T. gondii parasite were found in the brain. In four healthy woodpeckers in India, toxoplasmosis was also diagnosed.
Literature
Gerhold, R. W., & Yabsley, M. J. (2007). Toxoplasmosis in a red-bellied woodpecker (Melanerpes carolinus). Avian diseases, 51(4), 992–994. https://doi.org/10.1637/7978-040407-CASER.1
Pande, P. G., Sekariah, P. C., & Shukla, R. R. (1961). Toxoplasma from the woodpecker, a new natural host. Transactions of the Royal Society of Tropical Medicine and Hygiene, 55, 277–283. https://doi.org/10.1016/0035-9203(61)90066-9
Ziegler, L., Parmentier, S. L., Fischer, D., Heckmann, J., Klopfleisch, R., Kershaw, O., Ziegler, U., Neurath, H., Schmidt, V., & Lierz, M. (2018). Investigations into causes of neurological signs and mortality and the first identification of Sarcocystis calchasi in free-ranging woodpeckers in Germany. Journal of zoo and wildlife medicine : official publication of the American Association of Zoo Veterinarians, 49(1), 247–251. https://doi.org/10.1638/2017-0087R.1