At the end of last year, the DWHC received the first reports of stunned and weakened swans that behaved like “zombies”. At first, it was thought that there was a resurgence of bird flu (Avian Influenza, AI) among swans. However, investigation showed that they were not infected with it.

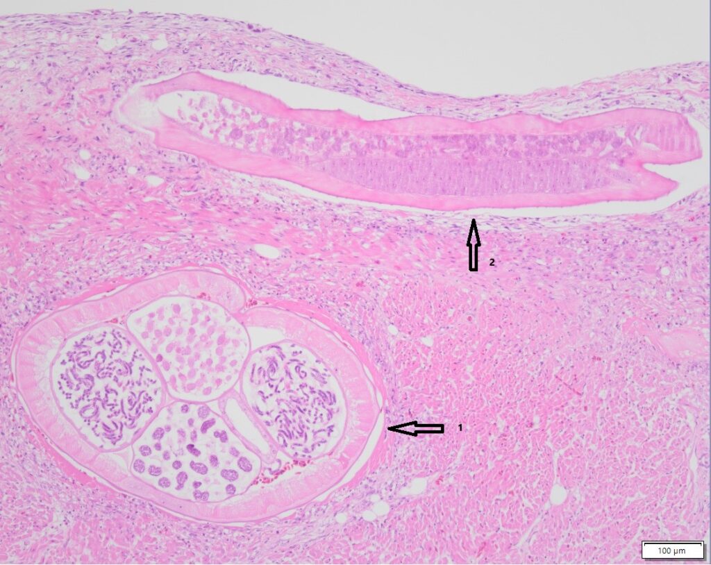
1. Cross section of the Trichobilharzia worm
2. Longitudinal section of the Trichobilharzia worm
Over the past few months, a number of these swans from Friesland and South-Holland, among other places, have been brought to Utrecht for further research. A flatworm Trichobilharzia spp. was found in the blood vessels of these animals (see figure 1). This worm is mainly found in ducks and swans. The parasites penetrate the bird’s body through the skin and cause inflammation in the blood vessels of various internal organs, such as the intestines and the brain. The damage that the parasite causes to the nervous system leads to abnormal behavior in the birds. The worm can also end up in the eye, causing the birds to become visually impaired or even blind.
Trichobilharzia
The adult worms live in ducks and swans (the final hosts). Their eggs are released into the water with the bird’s feces. Miracidia (young phase of the worms) are released from these eggs and are eaten by freshwater snails (intermediate host). In these freshwater snails they multiply and then thousands of cercaria (the next young phase of the worm) are released into the environment. These cercaria are attracted by the sunlight and go towards the surface of the water in search of a new final host (a duck or swan) to be able to grow into an adult.

With a high number of these cercaria in the water, people who swim in the water can also become infected. The cercaria do not penetrate the skin of humans and can cause an allergic reaction in the skin, the “swimmer’s itch“.