Weefselonderzoek geeft uitsluitsel over mysterieuze borstknobbel

In augustus 2018 werd een reegeit wegens een knobbel op de borst geschoten en naar DWHC ingestuurd voor onderzoek. Het was een volwassen, mager ree. De vermagering werd veroorzaakt door een longontsteking door longwormen. Dit waren zowel de gewone reeën/herten longworm (Dictyocaulus eckerti) als de kleine reeënlongworm (Varestrongylus capreoli).
De knobbel
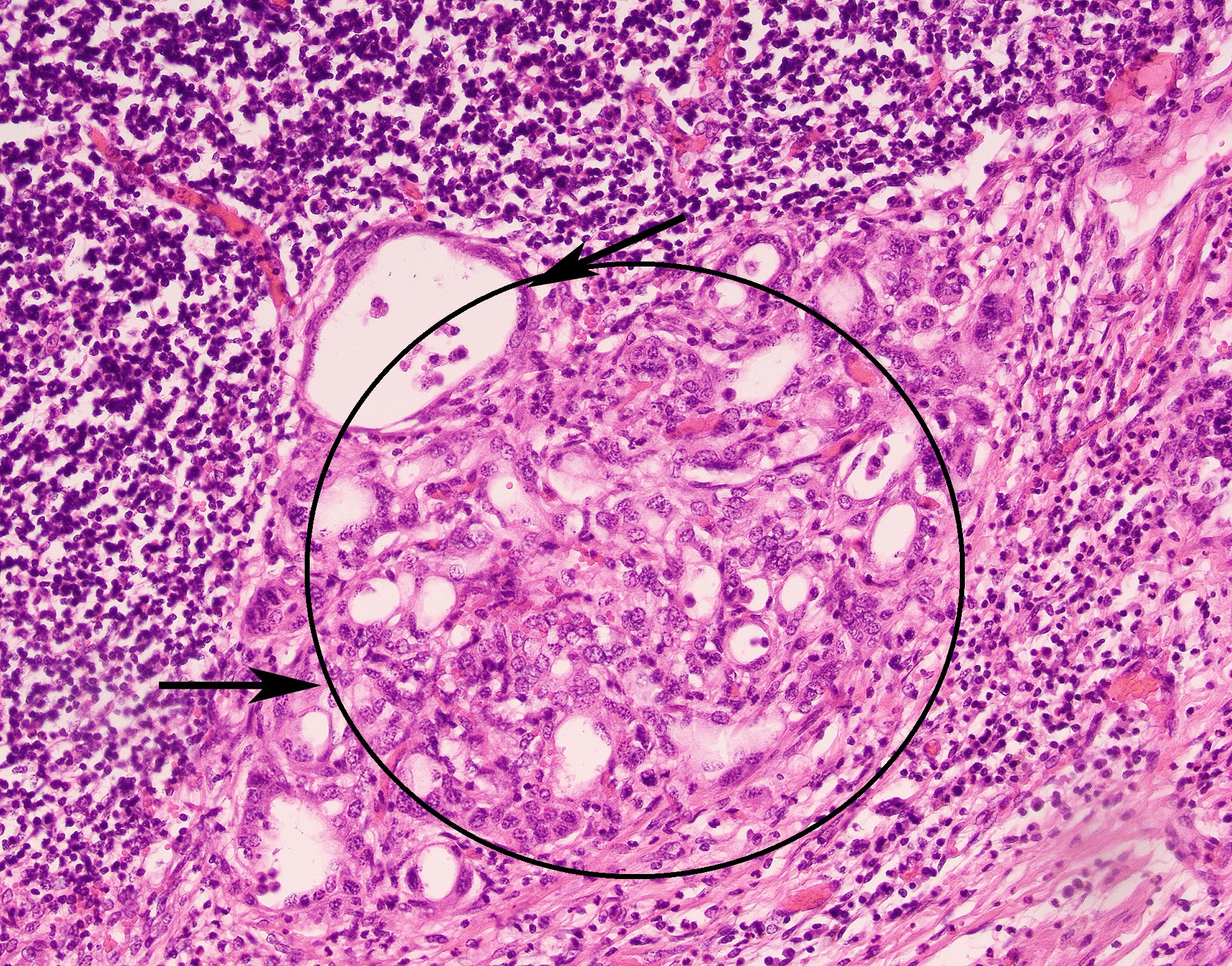
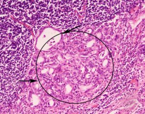
Onderzoek van de knobbel gaf een verrassende uitkomst. De knobbel was een zakje gevuld met bloed. Een dergelijke grote bloeduitstorting doet in eerste instantie denken aan gevolgen van een harde stoot, klap of ander trauma. Maar bij het microscopisch onderzoek bleek dat de wand van het zakje bestond uit zweetklierkanker (apocrien carcinoom). De bloeding was dus in een tumor ontstaan. De tumor zelf was weliswaar nog klein, en gaf nog geen problemen voor het ree, maar was al wel uitgezaaid in de directe omgeving. Als het dier niet was afgeschoten, zou de kanker later zeker verder zijn gaan uitzaaien. Op de detail foto is het microscopisch beeld te zien van een lymfeknoop met uitzaaiing van de klierkanker. In het omcirkelde gebied zie je tumorweefsel: de cellen vertonen een rommelige opbouw (chaos) en de buisjes van de klierkanker zijn duidelijk zichtbaar (pijltjes).
De knobbel was dus geen abces, en ook niet alleen maar een bloeduitstorting. Dit is een mooi voorbeeld van hoe belangrijk weefselonderzoek is om tot de oorzaak van een afwijking te komen.
![]() |
![]() |
| Het hematoom met de onderhuidse bloeduitstorting. Foto: DWHC |
Het microscopisch beeld. Foto: DWHC |

